Dental Crowns, Bridges, Veneers
Dental prosthodontics is a branch of dentistry that deals with the manufacturing/producing/fabricating of dental prosthetics, such as dental crowns, bridges, veneers, dentures, and temporary teeth. Dental prosthetics simultaneously address the aesthetic, functional, phonetic, and social issues of the patient.
Dental Prosthetics at Gikic Polyclinic?
Gikic Polyclinic has the most advanced digital dental laboratory. It manufactures dental prosthetics for:
- The needs of its own patients
- The needs of external clinics and polyclinics.
The entire process of creating and crafting a new smile takes place in our polyclinic. This way, we have full control over the quality and time required for the dental prosthetics manufacturing/production/fabrication.



Dental Prosthetics – Types of Materials
Dental Polyclinic Gikic produces dental crowns using the highest-quality materials from the Ivoclar brand:
- PMMA – CAD-CAM – for temporary fixed works: crowns, bridges, veneers
- IPS e.max – lithium disilicate glass-ceramic for: crowns, bridges, veneers
- IPS e.max ZirCAD Prime – high-strength zirconium oxide for: crowns, bridges, veneers
- IPS e.max ZirCAD Prime Esthetic for a high aesthetic smile
- IPS Empress CAD for: dental crowns, veneers, ceramic restorations (inlays, onlays, overlays)


What are
dental crowns and dental bridges?
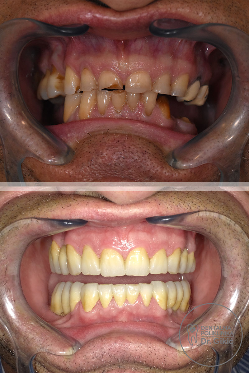
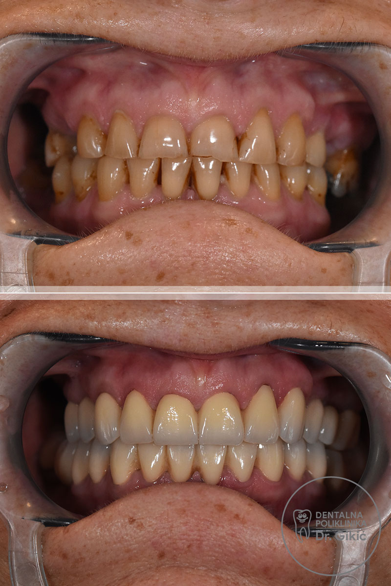
Dental crowns are prosthetic caps placed on damaged teeth or implants with the aim of protection, restoration of function, and restoration of tooth shape when fillings cannot solve the problem. They can be individually made or used as part of a dental bridge. There are several types of crowns: endocrown, full crown, partial crown (3/4 crown), standard crown for the entire tooth and overlay.
A dental bridge is a dental prosthetic that represents the connection of multiple crowns into a single unit.
There are:
- Small bridges – (three-unit bridge to replace one tooth, 2 abutments and 1 pontic in between)
- Large bridges – it spans large gaps or covers the entire dental arch.
Advantages of Dental Prosthetics at our Polyclinic
- High level of material safety – Ivoclar
- Covers all situations – from a single crown to wide-span bridges
- Ideal material properties – strength and aesthetics of natural teeth
- Minimally invasive restorations – teeth are minimally reduced, only as much as necessary
- Exceptional aesthetics – high-quality restorations with impeccable natural colour
- Natural-looking crowns – transparency and translucency of natural teeth
- Easy maintenance of oral hygiene
- Strong and secure bite
- Warranty on prosthetic work

Who is a candidate for dental crowns or dental bridges?
- Individuals with damaged teeth
- Individuals in need of restoration for broken or severely worn-out teeth
- Individuals seeking to improve the aesthetics of their smile due to discolored teeth
- Individuals with one or more missing teeth
- Individuals with a tooth that cannot be treated with a filling


Dr. Maxim Belograd, a specialist in the field of advanced microscopic dentistry.
What sets us apart from others?
We stand out due to our education and numerous clinical, multi-day individual courses throughout Europe and the world, both for dentists and dental technicians.
We approach each phase of the process with the utmost care, from taking digital impressions using the 3Shape Trios5 scanner, designing in exocad software, grinding with Comet diamond burs, and printing temporary teeth (prototypes) with the Asiga printer, to milling crowns, bridges, and veneers with the PrograMill PM7 device, and final tooth refinement on the patient in our laboratory. The dental technician completes the work directly on the patient, not on a plaster model. This way, the dental prosthetics produce the best matches to the facial appearance and overall impression.
Dental prosthodontics is a crucial component of the entire therapy process. New teeth should look completely natural since they are the first thing others notice about us. Our narrower areas of specialization are implantology and dental prosthodontics.
Arrival
Ozaljska 128, Zagreb, Croatia
BY TRAM
We are only fifty meters away from the tram stop ‘Selska’, which you can reach by lines 3, 9, 12. We are only a hundred meters away from the Remiza turnaround.
BY BUS
We are only a hundred meters away from the bus stop ‘Selska-Ozaljska’ towards Ljubljanica/Remiza, line 109 Črnomerec/Dugave.
BY CAR – PARKING
Limited free parking is available on both sides of Ozaljska Street, with 2 parking spaces for disabled persons in front of the clinic entrance.
NEARBY PARKING
Učkina Street – along Ozaljska Street
Puljska Street – along Ozaljska Street
CONTACT US



