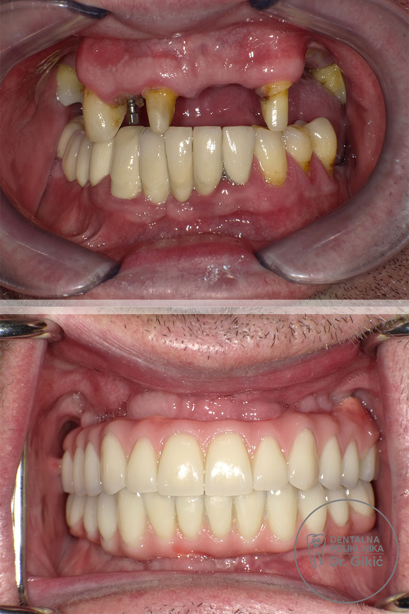
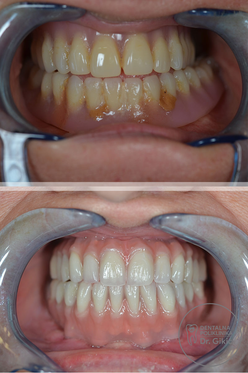
What is All on 4 and/or Pro Arch?
A life-changing procedure! All on 4 and Pro Arch are two related implant-prosthetic concepts that allow edentulous (toothless) patients to have a smile within 24 hours. They differ in the type of implants that are used:
The concept involves the placement of 4 dental implants and a fixed bridge that remains in the mouth, all done in a single day. This scientifically proven full-jaw rehabilitation is adapted to the patient’s needs and has been successfully applied worldwide for 25 years. All on 4 was first performed in 1998 by dr. Paulo Malo.
It is a safe and predictable treatment concept. According to recent data, 95% of patients are satisfied with the procedure. Over 250,000 new smiles have been created using this method. The survival rate of implants and fixed bridges is as high as 98%.


Prof. Paulo Malo, creator of the All-on-4 technique.

How is
All on 4 and/or Pro Archperformed?
he therapy is performed in 2 stages:
Stage 1 – Surgery involving the placement of implants and a temporary fixed bridge of 10 teeth (the bridge remains fixed in the mouth; it is not removable).
Stage 2 – Final restoration consisting of a titanium milled framework and a bridge with 12 teeth for one jaw.
Between the first and second phases, six months must pass.
Advantages of the All on 4 and/or Pro Arch Method:
- No need for sinus lifting or bone grafting
- Fixed teeth within 24 hours in a single visit
- Applicable method for all patients
- Permanent solution
- Significantly lower cost compared to traditional implant therapy
- Natural-looking teeth and easy hygiene maintenance
- Quick recovery and drastic improvement in quality of life
Who is a candidate for All on 4 and/or Pro Arch?
- People who wear dentures
- Patients with long-term fixed bridges in need of a new fixed restoration
- Patients with loose teeth due to periodontal disease
- Patients who prefer a fixed bridge over dentures
- Patients who have been told they are not suitable candidates for fixed bridges on implants

Today, there is no patient who cannot receive fixed teeth. At least that is the case in our clinic.



What sets us apart from others?
Dr. Matija Gikic has been educated in the most prestigious centres and clinics worldwide, from Tokyo to New York, acquiring valuable knowledge from the best in the field.
We strictly adhere to protocols. Complex cases are our daily routine. We specialize in total jaw reconstruction for one or both jaws in a single day. All surgical procedures are performed by a specialist in oral surgery.
We have been performing the All on 4 procedure for over 10 years, accumulating a wealth of experience. We are recognized in Croatia and beyond for this method, as well as the Zygoma procedure. We have completed over 600 All on 4 procedures.
Our specialty lies in treating high-risk patients (bone deficiency, diabetes, smoking, osteoporosis). Patients who are not considered favorable candidates for surgery in other clinics, come to us. We primarily treat patients whom others believe cannot receive fixed bridges on implants. This includes patients who have previously had implants but lost them for some reason.
Gikic Polyclinic offers a wide range of procedures for all cases – from simple ones (tooth extraction, implant placement, etc.) to the most demanding ones (bone transplantation, zygomatic implant placement, oral rehabilitation for patients lacking bone).
Arrival
Ozaljska 128, Zagreb, Croatia
BY TRAM
We are only fifty meters away from the tram stop ‘Selska’, which you can reach by lines 3, 9, 12. We are only a hundred meters away from the Remiza turnaround.
BY BUS
We are only a hundred meters away from the bus stop ‘Selska-Ozaljska’ towards Ljubljanica/Remiza, line 109 Črnomerec/Dugave.
BY CAR – PARKING
Limited free parking is available on both sides of Ozaljska Street, with 2 parking spaces for disabled persons in front of the clinic entrance.
NEARBY PARKING
Učkina Street – along Ozaljska Street
Puljska Street – along Ozaljska Street
CONTACT US



